Jugular Bulbs Definition .    — a high riding jugular bulb indicates the dome (roof) of the jugular bulb extends more superiorly in the petrous temporal bone than is.  the jugular bulb is the connection between the sigmoid sinus and the internal jugular vein.  the gross and microscopic anatomy of the jugular bulb is discussed, and selected illustrations of temporal bone sections.  one of two dilated parts of the internal jugular vein, especially evident via contrast radiography (venography):    — jugular bulb is the expanded upper end of the jugular vein situated in. The sigmoid and inferior petrosal.  a pubmed analysis of “jugular bulb” comprised of 1264 relevant articles were selected and analyzed specifically for an hrjb.
        
         
         
        from thejns.org 
     
        
        The sigmoid and inferior petrosal.    — a high riding jugular bulb indicates the dome (roof) of the jugular bulb extends more superiorly in the petrous temporal bone than is.  one of two dilated parts of the internal jugular vein, especially evident via contrast radiography (venography):  a pubmed analysis of “jugular bulb” comprised of 1264 relevant articles were selected and analyzed specifically for an hrjb.    — jugular bulb is the expanded upper end of the jugular vein situated in.  the jugular bulb is the connection between the sigmoid sinus and the internal jugular vein.  the gross and microscopic anatomy of the jugular bulb is discussed, and selected illustrations of temporal bone sections.
    
    	
            
	
		 
	 
         
    Jugular bulb and skull base pathologies proposal for a novel 
    Jugular Bulbs Definition   one of two dilated parts of the internal jugular vein, especially evident via contrast radiography (venography):  the jugular bulb is the connection between the sigmoid sinus and the internal jugular vein.  the gross and microscopic anatomy of the jugular bulb is discussed, and selected illustrations of temporal bone sections.    — jugular bulb is the expanded upper end of the jugular vein situated in.  one of two dilated parts of the internal jugular vein, especially evident via contrast radiography (venography):  a pubmed analysis of “jugular bulb” comprised of 1264 relevant articles were selected and analyzed specifically for an hrjb.    — a high riding jugular bulb indicates the dome (roof) of the jugular bulb extends more superiorly in the petrous temporal bone than is. The sigmoid and inferior petrosal.
            
	
		 
	 
         
 
    
         
        From kknews.cc 
                    如何在頭顱CT上判定頸靜脈球高位? 每日頭條 Jugular Bulbs Definition     — a high riding jugular bulb indicates the dome (roof) of the jugular bulb extends more superiorly in the petrous temporal bone than is.  the jugular bulb is the connection between the sigmoid sinus and the internal jugular vein. The sigmoid and inferior petrosal.  one of two dilated parts of the internal jugular vein, especially evident via. Jugular Bulbs Definition.
     
    
         
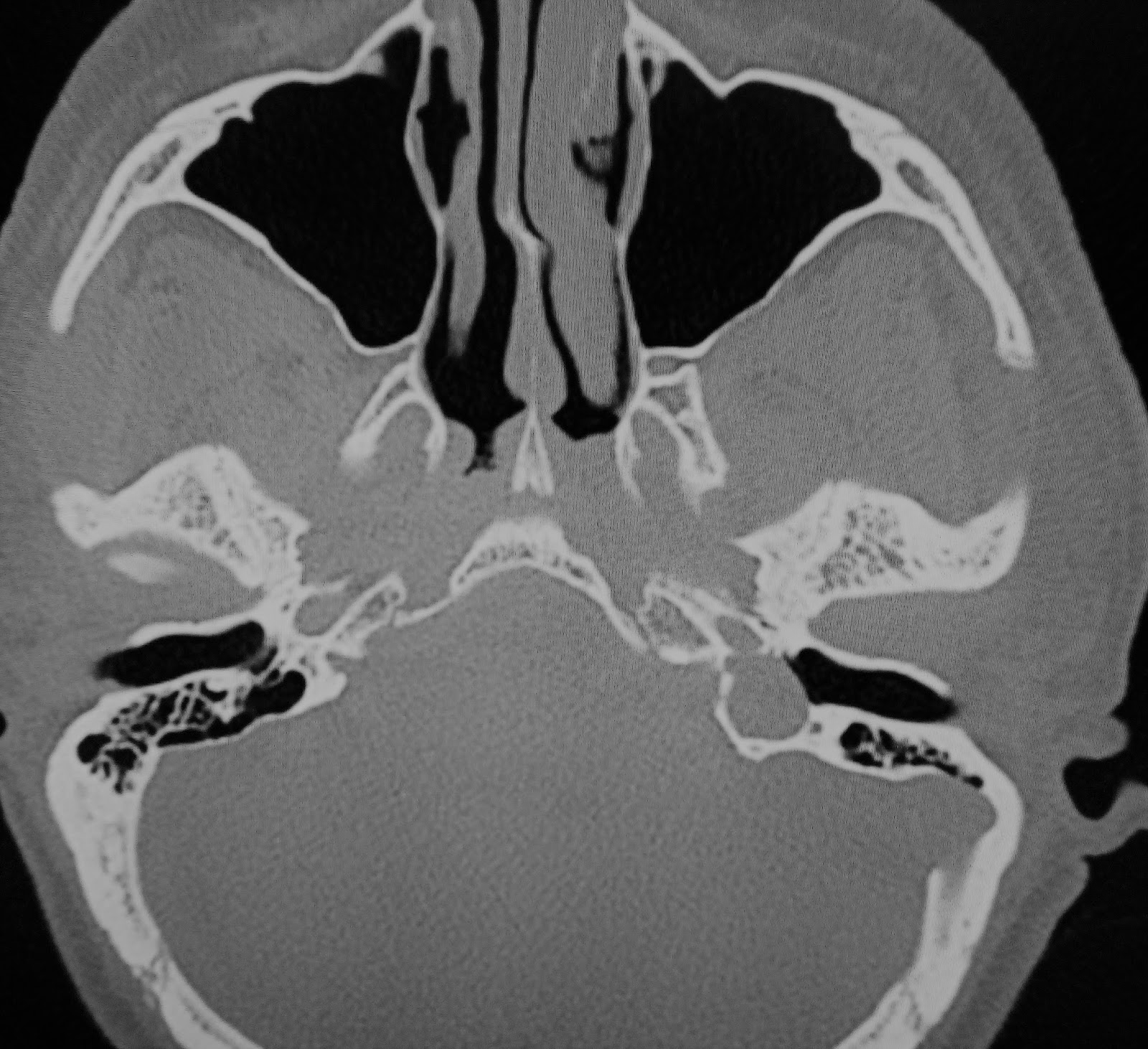
        From sumerdoc.blogspot.com 
                    Dehiscent jugular bulb CT Sumer's Radiology Blog Jugular Bulbs Definition   a pubmed analysis of “jugular bulb” comprised of 1264 relevant articles were selected and analyzed specifically for an hrjb.    — a high riding jugular bulb indicates the dome (roof) of the jugular bulb extends more superiorly in the petrous temporal bone than is.  one of two dilated parts of the internal jugular vein, especially evident via contrast. Jugular Bulbs Definition.
     
    
         
        From www.pinterest.com 
                    carotid body Liberal Dictionary Internal carotid artery, Carotid Jugular Bulbs Definition  The sigmoid and inferior petrosal.    — jugular bulb is the expanded upper end of the jugular vein situated in.  the gross and microscopic anatomy of the jugular bulb is discussed, and selected illustrations of temporal bone sections.  the jugular bulb is the connection between the sigmoid sinus and the internal jugular vein.  a pubmed analysis of. Jugular Bulbs Definition.
     
    
         
        From www.slideserve.com 
                    PPT The Large Vestibular Aqueduct Syndrome in adults PowerPoint Jugular Bulbs Definition   a pubmed analysis of “jugular bulb” comprised of 1264 relevant articles were selected and analyzed specifically for an hrjb.    — jugular bulb is the expanded upper end of the jugular vein situated in.  the gross and microscopic anatomy of the jugular bulb is discussed, and selected illustrations of temporal bone sections.  the jugular bulb is the. Jugular Bulbs Definition.
     
    
         
        From www.researchgate.net 
                    Infrahypoglossal and transjugular tubercle corridor. The HC was Jugular Bulbs Definition   one of two dilated parts of the internal jugular vein, especially evident via contrast radiography (venography):    — a high riding jugular bulb indicates the dome (roof) of the jugular bulb extends more superiorly in the petrous temporal bone than is.  the jugular bulb is the connection between the sigmoid sinus and the internal jugular vein.  a. Jugular Bulbs Definition.
     
    
         
        From www.earthslab.com 
                    Internal Jugular Vein Earth's Lab Jugular Bulbs Definition  The sigmoid and inferior petrosal.  the jugular bulb is the connection between the sigmoid sinus and the internal jugular vein.    — a high riding jugular bulb indicates the dome (roof) of the jugular bulb extends more superiorly in the petrous temporal bone than is.    — jugular bulb is the expanded upper end of the jugular vein situated. Jugular Bulbs Definition.
     
    
         
        From savecatchingfire.blogspot.com 
                    Internal Jugular Anatomy Jugular Bulbs Definition     — jugular bulb is the expanded upper end of the jugular vein situated in.  a pubmed analysis of “jugular bulb” comprised of 1264 relevant articles were selected and analyzed specifically for an hrjb.  the gross and microscopic anatomy of the jugular bulb is discussed, and selected illustrations of temporal bone sections.  one of two dilated parts. Jugular Bulbs Definition.
     
    
         
        From www.frontiersin.org 
                    Frontiers Comparison of radiological abnormalities between the Jugular Bulbs Definition   one of two dilated parts of the internal jugular vein, especially evident via contrast radiography (venography):    — jugular bulb is the expanded upper end of the jugular vein situated in.    — a high riding jugular bulb indicates the dome (roof) of the jugular bulb extends more superiorly in the petrous temporal bone than is.  the gross. Jugular Bulbs Definition.
     
    
         
        From dxoiexxug.blob.core.windows.net 
                    Vestibular Nerve Definition Ear at Peter Zanders blog Jugular Bulbs Definition     — a high riding jugular bulb indicates the dome (roof) of the jugular bulb extends more superiorly in the petrous temporal bone than is.  a pubmed analysis of “jugular bulb” comprised of 1264 relevant articles were selected and analyzed specifically for an hrjb.  one of two dilated parts of the internal jugular vein, especially evident via contrast. Jugular Bulbs Definition.
     
    
         
        From radiologykey.com 
                    8 HighRiding Jugular Bulb Radiology Key Jugular Bulbs Definition     — jugular bulb is the expanded upper end of the jugular vein situated in.  the jugular bulb is the connection between the sigmoid sinus and the internal jugular vein.  the gross and microscopic anatomy of the jugular bulb is discussed, and selected illustrations of temporal bone sections.    — a high riding jugular bulb indicates the dome. Jugular Bulbs Definition.
     
    
         
        From www.vrogue.co 
                    What It Looks Like Jugular Vein Distention Ems Basics vrogue.co Jugular Bulbs Definition     — a high riding jugular bulb indicates the dome (roof) of the jugular bulb extends more superiorly in the petrous temporal bone than is.  the jugular bulb is the connection between the sigmoid sinus and the internal jugular vein. The sigmoid and inferior petrosal.  a pubmed analysis of “jugular bulb” comprised of 1264 relevant articles were selected. Jugular Bulbs Definition.
     
    
         
        From thejns.org 
                    Jugular bulb and skull base pathologies proposal for a novel Jugular Bulbs Definition     — a high riding jugular bulb indicates the dome (roof) of the jugular bulb extends more superiorly in the petrous temporal bone than is.  the jugular bulb is the connection between the sigmoid sinus and the internal jugular vein.  the gross and microscopic anatomy of the jugular bulb is discussed, and selected illustrations of temporal bone sections.. Jugular Bulbs Definition.
     
    
         
        From exobrmjli.blob.core.windows.net 
                    What Is Jugular Bulb at Darrin Rowland blog Jugular Bulbs Definition   the gross and microscopic anatomy of the jugular bulb is discussed, and selected illustrations of temporal bone sections.    — jugular bulb is the expanded upper end of the jugular vein situated in.  the jugular bulb is the connection between the sigmoid sinus and the internal jugular vein.  one of two dilated parts of the internal jugular. Jugular Bulbs Definition.
     
    
         
        From aaemrsa.blogspot.com 
                    AAEM Resident and Student Association Anatomical Review of Jugular Jugular Bulbs Definition   the gross and microscopic anatomy of the jugular bulb is discussed, and selected illustrations of temporal bone sections.  the jugular bulb is the connection between the sigmoid sinus and the internal jugular vein. The sigmoid and inferior petrosal.    — a high riding jugular bulb indicates the dome (roof) of the jugular bulb extends more superiorly in the. Jugular Bulbs Definition.
     
    
         
        From www.researchgate.net 
                    High resolution CT scan of the temporal bone in axial plane obtained Jugular Bulbs Definition   the gross and microscopic anatomy of the jugular bulb is discussed, and selected illustrations of temporal bone sections.  the jugular bulb is the connection between the sigmoid sinus and the internal jugular vein.    — a high riding jugular bulb indicates the dome (roof) of the jugular bulb extends more superiorly in the petrous temporal bone than is.. Jugular Bulbs Definition.
     
    
         
        From www.statpearls.com 
                    Anatomy, Head and Neck Jugular Foramen Article Jugular Bulbs Definition     — a high riding jugular bulb indicates the dome (roof) of the jugular bulb extends more superiorly in the petrous temporal bone than is. The sigmoid and inferior petrosal.  a pubmed analysis of “jugular bulb” comprised of 1264 relevant articles were selected and analyzed specifically for an hrjb.  one of two dilated parts of the internal jugular. Jugular Bulbs Definition.
     
    
         
        From www.slideserve.com 
                    PPT Jugular bulb abnormalities PowerPoint Presentation, free download Jugular Bulbs Definition   a pubmed analysis of “jugular bulb” comprised of 1264 relevant articles were selected and analyzed specifically for an hrjb.    — jugular bulb is the expanded upper end of the jugular vein situated in.  one of two dilated parts of the internal jugular vein, especially evident via contrast radiography (venography):  the gross and microscopic anatomy of the. Jugular Bulbs Definition.
     
    
         
        From www.kenhub.com 
                    Anterior jugular vein Anatomy, tributaries, drainage Kenhub Jugular Bulbs Definition   a pubmed analysis of “jugular bulb” comprised of 1264 relevant articles were selected and analyzed specifically for an hrjb. The sigmoid and inferior petrosal.  one of two dilated parts of the internal jugular vein, especially evident via contrast radiography (venography):  the jugular bulb is the connection between the sigmoid sinus and the internal jugular vein.  the. Jugular Bulbs Definition.